Posts

Summary of the International Scientific Meeting on Cerebral Venous Thrombosis 2023 (CVT Summit 2023)
https://eso-stroke.org/wp-content/uploads/Blog-Images-Square.jpg
1080
1080
Carine Legio
https://eso-stroke.org/wp-content/uploads/ESO-Horiz-mit-Schutzraum.png
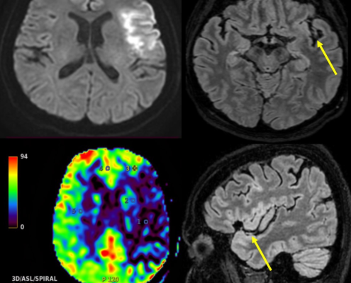
Carine Legio2023-06-23 04:51:232023-06-22 10:52:31Starting anticoagulation following cardioembolic stroke with Elan
https://eso-stroke.org/wp-content/uploads/Blog-Images-Square-1.png
1080
1080
Carine Legio
https://eso-stroke.org/wp-content/uploads/ESO-Horiz-mit-Schutzraum.png
Carine Legio2023-06-09 11:31:362023-06-09 11:31:36Role of Micro-Emboli Detection in the Management of Ischaemic Stroke
https://eso-stroke.org/wp-content/uploads/Blog-Images-Square-13.png
1080
1080
Carine Legio
https://eso-stroke.org/wp-content/uploads/ESO-Horiz-mit-Schutzraum.png
Carine Legio2023-04-21 06:55:112023-04-19 11:44:45Thrombus Occlusion Pattern on Angiography – Guiding Revascularisation
https://eso-stroke.org/wp-content/uploads/ESO-Horiz-mit-Schutzraum.png
0
0
Carine Legio
https://eso-stroke.org/wp-content/uploads/ESO-Horiz-mit-Schutzraum.png
Carine Legio2023-04-07 08:00:502023-04-05 08:34:39INTRACRANIAL ARTERIAL DOLICHOECTASIA AND ACUTE ISCHAEMIC STROKE
https://eso-stroke.org/wp-content/uploads/Blog-Images-Square-10.png
1080
1080
Carine Legio
https://eso-stroke.org/wp-content/uploads/ESO-Horiz-mit-Schutzraum.png
Carine Legio2023-03-11 14:34:492023-03-11 14:34:49Interview with Prof Götz Thomalla, University Medical Center Hamburg-Eppendorf, Germany, on the results of the ANGEL-ASPECT and SELECT2 trials
https://eso-stroke.org/wp-content/uploads/Blog-Images-Square-6.png
1080
1080
Carine Legio
https://eso-stroke.org/wp-content/uploads/ESO-Horiz-mit-Schutzraum.png
Carine Legio2023-02-03 08:00:482023-01-31 14:25:35Slow-flow in acute ischaemic stroke
https://eso-stroke.org/wp-content/uploads/Blog-Images-Square-5.png
1080
1080
Lara Le Noan
https://eso-stroke.org/wp-content/uploads/ESO-Horiz-mit-Schutzraum.png
Lara Le Noan2023-01-27 08:00:162023-01-25 13:17:37Can we apply thrombolysis for stroke in patients on non-vitamin K oral anticoagulants?
https://eso-stroke.org/wp-content/uploads/esoa_7_2.cover_.png
900
694
Lara Le Noan
https://eso-stroke.org/wp-content/uploads/ESO-Horiz-mit-Schutzraum.png
Lara Le Noan2022-12-21 10:05:312022-12-21 11:12:06Can blood biomarkers help in risk stratification of symptomatic intracranial hemorrhage and brain edema after acute ischemic stroke?