Current ESO recommendations regarding extended time-window reperfusion treatment require the use of advanced cerebral imaging. A favorable revascularisation decision thus relies on the mismatch between core and penumbra (on both CT and MRI) or between Diffusion Weighted Imaging (DWI) and Fluid-Attenuated Inverse Recovery (FLAIR) sequences on MRI.1,2 However, other radiological markers may influence and nuance the decision to administer acute reperfusion treatment.
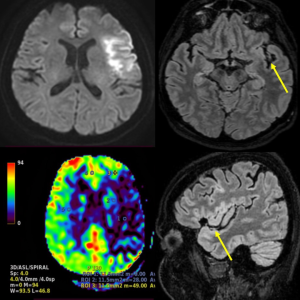
The FLAIR sequence often demonstrates the extent of acute stroke (considered beyond potential salvation); however, it takes several hours for the infarcted parenchyma to become hyperintense. A more precocious finding is represented by the FLAIR hyperintense vessel sign (FHVs), corresponding to vessels situated downstream an arterial occlusion.3 This sign is often readily identifiable on the FLAIR sequence considering the low signal from surrounding cerebrospinal fluid.
First described in 2000 by Kamran et al.,4 it was identified in 10% of a series of retrospectively analysed MRI examinations performed for acute ischaemic stroke. Almost all patients presenting this sign had large vessel occlusion or severe stenosis. When performed, angiography demonstrated corresponding slow-flow. Lastly, on MRI scans performed shortly after stroke debut, FHVs was present while parenchymal hyperintensity was absent.4
Following this initial study, two questions progressively emerged regarding FHVs: firstly, does it rather represent insufficient collateralisation or, on the contrary, increased leptomeningeal collateralisation, both in the context of altered cerebral hemodynamics caused by acute occlusion or stenosis? Secondly, does it have a clinical predictive value?
In a retrospective cohort study on 62 patients with acute ischaemic stroke and large and medium-vessel occlusion, patients with extensive FHVs had larger baseline lesions with a higher initial NIHSS and a more pronounced diffusion-perfusion mismatch.3 In all, extensive FHVs presence was predictive of severe hypoperfusion which was further associated with a worse 3-months functional outcome. The authors concluded that extensive FHVs probably indicates insufficiency of leptomeningeal collateralisation to maintain perfusion over a large area of cerebral ischaemia.3
Moreover, a more recent study attempted to nuance the leptomeningeal collateral status by analysing the pattern of FHVs with regard to initial DWI lesion extent.5 Thus, in patients with FHVs situated inside the borders of the DWI lesion, regional cerebral blood flow and volume as well as collateral grade were significantly lower on the CTA/CTP examination than in patients with FHVs identified outside of the lesion. The authors suggested that the FHVs-out pattern may represent a cerebral perfusion reserve stage,5 being associated with relatively improved cerebral perfusion and thus, adequate, but temporary leptomeningeal collaterals.
Finally, a recent study on acute large-vessel occlusion strokes treated by mechanical thrombectomy analysed the FHVs-DWI mismatch score, representing the number of cortical areas (classified using the DWI-ASPECTS, comprising only the insular component and M1-M6 territories) that involved the presence of FHVs without a DWI lesion.6 After analysing around 200 patients, the study identified that an increase in the FHVs-DWI mismatch score was associated with an increase in 3-months favorable outcome.
In summary, the FHVs is a precocious radiological marker identified on MRI FLAIR sequence, demonstrating an alteration of cerebral hemodynamics downstream a severe stenosis or occlusion. It is generally believed to represent an area of ischaemic penumbra (and thus with salvageable potential), probably stemming from insufficient or temporary leptomeningeal collateralisation. Lastly, its prognostic value seems to be dependent on its relationship with the DWI lesion extent, with FHVs situated outside of positive DWI lesions being most informative of the reserve of salvageable cerebral tissue.
References:
- Berge E, Whiteley W, Audebert H, et al. European Stroke Organisation (ESO) Guidelines on Intravenous Thrombolysis for Acute Ischaemic Stroke. Vol 6.; 2021. doi:10.1177/2396987321989865
- Turc G, Bhogal P, Fischer U, et al. European Stroke Organisation (ESO)- European Society for Minimally Invasive Neurological Therapy (ESMINT) guidelines on mechanical thrombectomy in acute ischemic stroke. J Neurointerv Surg. 2019;11(6):535-538. doi:10.1136/neurintsurg-2018-014568
- Kufner A, Galinovic I, Ambrosi V, et al. Hyperintense vessels on FLAIR: Hemodynamic correlates and response to thrombolysis. Am J Neuroradiol. 2015;36(8):1426-1430. doi:10.3174/ajnr.A4320
- Kamran S, Bates V, Bakshi R, Wright P, Kinkel W, Miletich R. Significance of hyperintense vessels on FLAIR MRI in acute stroke [1]. Neurology. 2001;56(9):1248. doi:10.1212/WNL.56.9.1248
- Huang X, Shi X, Yang Q, et al. Topography of the hyperintense vessel sign on fluid-attenuated inversion recovery represents cerebral hemodynamics in middle cerebral artery occlusion: a CT perfusion study. Neuroradiology. 2019;61(10):1123-1130. doi:10.1007/s00234-019-02231-y
- Tokunaga K, Tokunaga S, Hara K, et al. Fluid-attenuated inversion recovery vascular hyperintensity-diffusion-weighted imaging mismatch and functional outcome after endovascular reperfusion therapy for acute ischemic stroke. Interv Neuroradiol. July 2022:15910199221113900. doi:10.1177/15910199221113900
ESOC is Europe’s leading forum for advances in research and clinical care of patients with cerebrovascular diseases. ESOC 2023 will live up to its expectation, and present to you a packed, high quality scientific programme including major clinical trials, state-of-the-art seminars, educational workshops, scientific communications of the latest research, and debates about current controversies. ESOC 2023 programme is now available, and registration are now open. Learn more here.


